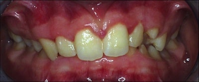
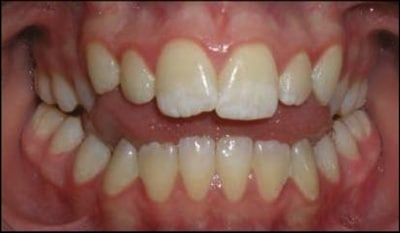
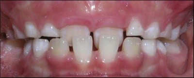
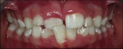
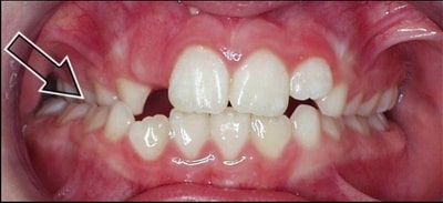
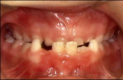
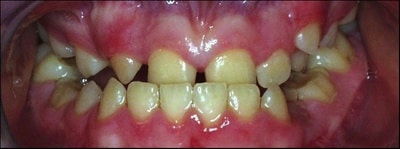
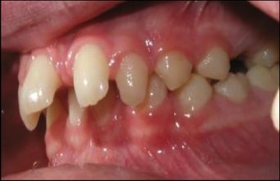
Crowding
Crowding is a common cause of class I malocclusion. It happens when the jaws are placed correctly but the teeth are still crowded, irregular, or poorly spaced. Crowding may be caused by a lack of sufficient space due to large teeth, an excess in the number of teeth, or a combination of both. This orthodontic problem can lead to the wrong eruption of permanent teeth, aesthetic concerns, and cleaning difficulties.
Can Invisalign fix crowding? Can Invisalign fix spacing? Yes! Invisalign can effectively fix crowding or spacing by gradually shifting the teeth into their desired positions. Kids, teens, and adults who suffer from gapped or crowded teeth can add Invisalign to their treatment options.












